The Ancient Epidemic
There's been an epidemic older than our societies hidden by the mainstream diseases
The Greeks called it “phthisis,” the Romans called it "tabes,” and Hebrew texts referred to it as “schachepheth.” It was “scrofula” in the Middle Ages, “the white death” in the 1700s, and “consumption” in the 1800s. We finally put a name to the culprit of this disease: Mycobacterium tuberculosis. The old names were left in the record books, and science began calling the disease tuberculosis.
The bacterium targets the lungs with symptoms of fever, tiredness, and a cough. Later in the infection, the bacterium quickly escalates those symptoms, resulting in coughing blood, chest pain, and weight loss. Tuberculosis leaves scars on the lungs, which has helped researchers identify cases of it in ancient human remains.
We have found tuberculosis in mummies that are over 4,000 years old, and researchers have discovered tuberculosis in Neolithic remains, which makes tuberculosis at least 9,000 years old! In 2023, over 10 million people were infected, with over 1 million dying.
With 9,000 years of history, there is no competition if you compare the total body count of tuberculosis to other pandemics like the Black Death and COVID-19. Tuberculosis beats them by miles, earning it the position of leading cause of death due to a pathogen.
If it has been around for so long, how have we not been able to control it? How is it still ranked as the biggest killer? As the saying goes, “Keep your friends close and your enemies closer,” that’s precisely what tuberculosis did.
The bacterium developed ways to manipulate our immune systems to benefit it. Since tuberculosis is one of our oldest enemies, it has adapted to shut down the immune system when it recognizes the bacterium. Researchers have found that the bacterium affects multiple processes within a cell to manipulate immune responses.
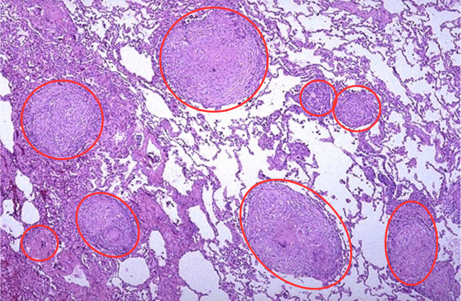
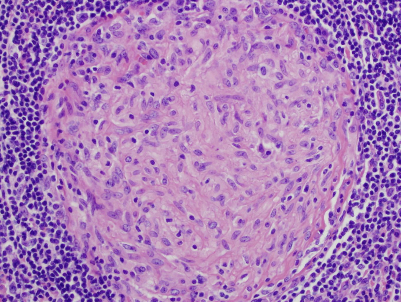
The most well-known method by which tuberculosis manipulates our immune system is through macrophages. They are the primary defense against invaders, the clean-up crew, and the primary tuberculosis target. The bacterium prefers to be engulfed by lung macrophages, which create a dense clump of cells that hides the bacterium for a long time, sometimes even years.
Within the last ten years, they also found that the bacterium's DNA can manipulate the cell. Our cells have internal sensors that detect foreign DNA from viruses and bacteria to destroy them. However, when tuberculosis DNA is detected in the cell, the cell begins creating immune signals that stop other immune cells. The exact method of how the bacterial DNA manipulates the DNA sensors isn’t precise, but this is an excellent example of how every aspect of the bacteria is manipulative.
Once we discovered antibiotics, we rushed at the opportunity to use them to fight this ancient menace. However, with every prospect comes a new challenge. As we overused antibiotics on tuberculosis, new strains became resistant to multiple antibiotics. These multi-drug-resistant strains have posed the latest challenge in treating the disease and letting it keep its grim title. Despite these struggles, there is still hope. Researchers, governments, and organizations work together to research, develop, and distribute treatments to combat new tuberculosis strains.
One method is the combination of a tuberculosis treatment with host-directed treatment. This means that instead of targeting only the bacteria, a second drug can be given to alter the human immune system. Tuberculosis has been with us for so long that it has developed many tricks to manipulate the immune system in its favor. If we were to counteract the bacteria’s effect on the immune system, the tuberculosis treatment may be more effective.
There is also vaccination. The current vaccine for tuberculosis is BCG, a tuberculosis-related bacteria that does not cause disease. However, its efficiency is inconsistent, as its protection diminishes, and revaccination doesn’t have the same effects. Instead of using a vaccine to prevent tuberculosis infection, researchers are developing vaccines that can be used during tuberculosis infection to prevent reoccurrence.
The first uses bacteria related to tuberculosis, like BCG. One tuberculosis cousin, M. vaccae, has shown protective abilities in mice and humans pre-vaccinated with BCG.
The second is delivering pieces of the tuberculosis bacteria to give the immune system a sample. One study showed that using four proteins from the bacteria could boost the protection of BCG and protect against drug-resistant tuberculosis.
While many of these new treatments are being developed on paper or in labs, more research is needed to ensure they are safe for human use. Despite the red tape, each one offers a chance to fight tuberculosis and remove its title as the most lethal infectious disease.
